インターネット歯学ロゴ
ログイン

咬合矯正

著者:Mejersjö Christina/Lindfors Erik
公開日: 20240830
更新日: 20250124

背景

噛み合わせが不調和な場合、歯が損傷し、咀嚼機能が損なわれ、義歯によるリハビリが困難になる可能性があります。比較的簡単な介入で、咬合矯正を良好な結果で行うことができます。咬合矯正は、咬頭と窩を失うことなく咬合面を再形成することにより、咬合における拮抗歯間の接触状態を最適化することを目的としています。

成人期には、さまざまな理由により咬合の変化が起こることがあります。歯の咬合は生涯を通じて変化し、歯の位置は唇、舌、噛み合わせ、異常な機能習慣からの力によって影響を受けます。患者自身が唇や舌の圧力によって、または舌と唇を歯列弓の部分の間に入れることによって引き起こす歯の動きは、咬合の変化や開咬の発症に寄与する可能性があります。

歯ぎしり姿勢で長時間噛み続けると、外傷性の負荷により咬合が変形することがあります。スプリントが短すぎたり、破損したスプリントがすべての歯をカバーしていない場合でも、咬合の変化や開咬を引き起こす可能性があります。

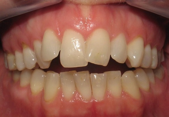
図A. 舌突出による前頭咬合の開き具合が異なる2つの症例

図A. 舌突出による前頭咬合の開き具合が異なる2つの症例

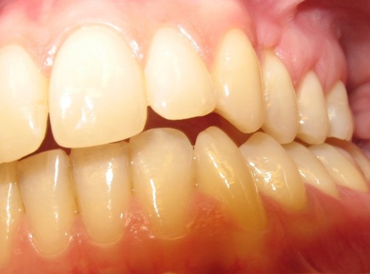
咬合変化の別のグループは、リウマチ性疾患や変形性関節症など、顎関節自体の軟骨や骨が失われ、関節が崩壊するなど、顎関節の変化に関連しています。変化が 1 つの関節で発生した場合、摩耗した側でのみ咬合接触が発生します。両側の顎関節の変化により下顎が後方に回転し、水平方向の過剰咬合の増加、咬合接触の障害、前頭開咬が生じる可能性があります。椎間板の変位があっても、咬合にわずかな変化が生じる可能性があります。

図B. 患者は右側顎関節の変形性関節症/骨欠損により右側のみに咬合接触がある。

歯を失った後、歯の移動や伸長が起こることがあります。歯の移動によって将来の補綴物の構築に悪影響を与える状態が発生した場合は、補綴前の咬合研削を行う必要があります。

顎の…

すべての内容をご覧になるためには、会員登録が必要です。
日本スウェーデン歯科学会の入会については(こちら→)をご覧ください。
また、このサイトの使い方はこちらをご覧ください。