インターネット歯学ロゴ
ログイン

歯科副鼻腔炎

著者:Gustav Kylås/Heymann Robert
公開日: 20240607
更新日: 20241220

原文執筆者: Carina Krüger Weiner

背景

副鼻腔炎

副鼻腔炎は、副鼻腔の粘膜に起こる副鼻腔内の炎症反応です。炎症反応は、ウイルス、細菌、真菌の感染によって引き起こされる場合もありますが、アレルゲン、医原性の異物、歯科インプラントのずれ、歯根の感染によっても引き起こされることがあります。副鼻腔粘膜は炎症中に厚くなり、鼻と上顎洞の間の開口部の通気が妨げられる可能性があります。その結果、排液が減少し、副鼻腔内で病原菌が増殖するリスクが高まります。

副鼻腔炎の可能性のある臨床的および既往歴の兆候

歯科に起因する副鼻腔炎

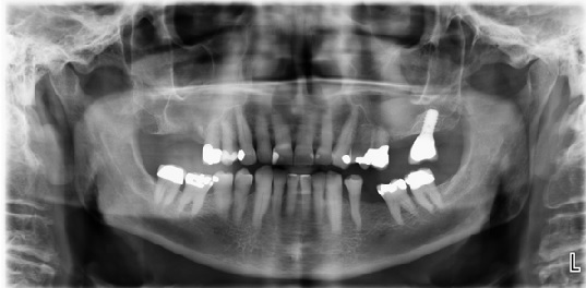
歯科医は、急性または慢性の副鼻腔炎に歯の発生が存在するかどうかを調べるよう依頼されることがよくあります。明らかな歯の感染症や片側上顎洞炎の場合、一般歯科医は臨床検査、X 線、口腔内画像、OPG を使用して歯の副鼻腔炎を診断できます。しかし、口腔内画像しか利用できない場合は診断が複雑になる可能性があり、熟練した臨床医であっても病状の検出が困難になる可能性があります。比較的検出が難しい状態としては、嚢胞や良性腫瘍が副鼻腔に広がったり、歯を介して二次感染が生じたりすることがあります。上顎に埋伏智歯が疑われる場合は、徹底的な放射線検査を受けることが重要です。分岐部における歯周ポケットの形成は副鼻腔に達し、長期の副鼻腔炎を引き起こすこともあります。つまり、一般歯科医が患者の歯を誤って排出することは珍しくなく、患者の医師が疑いを抱く場合は、顎顔面外科クリニックに紹介するか、CBCT による継続検査を受けることができます。

画像 1. 右側上顎洞の口腔前庭部交通と慢性副鼻腔炎…
すべての内容をご覧になるためには、会員登録が必要です。
日本スウェーデン歯科学会の入会については(こちら→)をご覧ください。
また、このサイトの使い方はこちらをご覧ください。