インターネット歯学ロゴ
ログイン

修正顆頭切除術

著者:Ulmner Mattias/Heymann Robert
公開日: 20240322
更新日: 20241216

背景

改良顆頭切開術の起源は完全には明らかではないが、この方法は1940年代から1950年代にイギリスで顎関節疾患の治療に使われ始めたと考えられる[1]。当初の適応症は、顎関節の反復性脱臼および症状のある変形性関節症でした。手術は、症状のある側の顆状突起を鋸で切断する、いわゆるジグリ鋸を使用して行われることが多かった。このようにして、顆が下がり、関節スペースが広がります。下顎枝に垂直骨切りを行う開放型修正顆頭切開術は、再発のない椎間板変位の治療に1980年代後半から使用されるようになりました(図1) [2]。これにより、顎関節への負荷が軽減され、スナップ/アンフックが解消されます。

米国の治療研究では良好な結果が示されている[3, 4]。この方法を他の外科的治療と比較した北欧の研究は不足している。しかし、従来の非外科的治療と修正顆頭切開術を比較した北欧の研究がある[5]。この研究には、再発のない障害性椎間板ヘルニアの患者が含まれていました。限られた資料では、修正顆頭切開術の方がより良い結果が得られたと考えられた[5]。

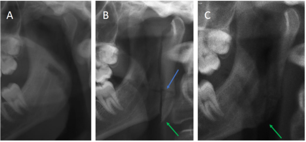
図 1: 修正顆状突起切開術を示す OPG。 A) 手術前の患者。 B) 術後結果、手術から 2 週間後に撮影した OPG。切歯から角まで骨切りが行われました。この場合、2つの骨片は、Hall法[6]に従って、放射線学的にコントラストのない粗い縫合糸(青い矢印)で固定されています。 C) 術後 1 年経過し、正常な治癒が見られます。近位セグメントの最下部が吸収されていることに注意してください。緑の矢印はエリアを示しています。

適応症

修正顆頭切開術による外科的治療を検討する前に、非外科的治療を試みるべきであった[7]。患者の症状を緩和できる非外科的治療の例としては、リリーフバイトスプリント、ギャップトレーニング、薬物療法などが挙げられます。非外科的…

すべての内容をご覧になるためには、会員登録が必要です。
日本スウェーデン歯科学会の入会については(こちら→)をご覧ください。
また、このサイトの使い方はこちらをご覧ください。