インターネット歯学ロゴ
ログイン

第三大臼歯に対する下顎管の位置

著者:Vicente António/Hellén-Halme Kristina
公開日: 20241220
更新日: 20241220

背景

歯科のさまざまな状況では、物体や構造物の配置が必要になる場合があります。たとえば、下顎管と下顎の第三大臼歯の関係、または上顎で最も頻繁に発生する未萌出犬歯の配置などです。病理学的変化であっても、他の構造との関係で正しく配置する必要がある場合もあります (1)。異物や歯根残渣の可能性の調査にも同じことが当てはまります(2)。

下顎管(図1)は下顎体部に位置し、オトガイ(3)まで伸びています。下顎管と下顎歯の根の関係は様々です。親密な関係から全く接触がない関係まで、さまざまな関係があります(4)。

図1: 下顎管

下顎管は繊細な構造であるため、その領域で外科手術を行う際には十分に記録しておく必要があります。顎骨内の位置と周囲の歯の構造との関係を知ることは重要です。この方法では、感覚喪失や痛みなどの合併症を回避できることが多い(5)。下顎第三大臼歯の抜歯や外科的除去などの処置が計画されている場合は、何らかのX線検査を行う必要がある(6)。

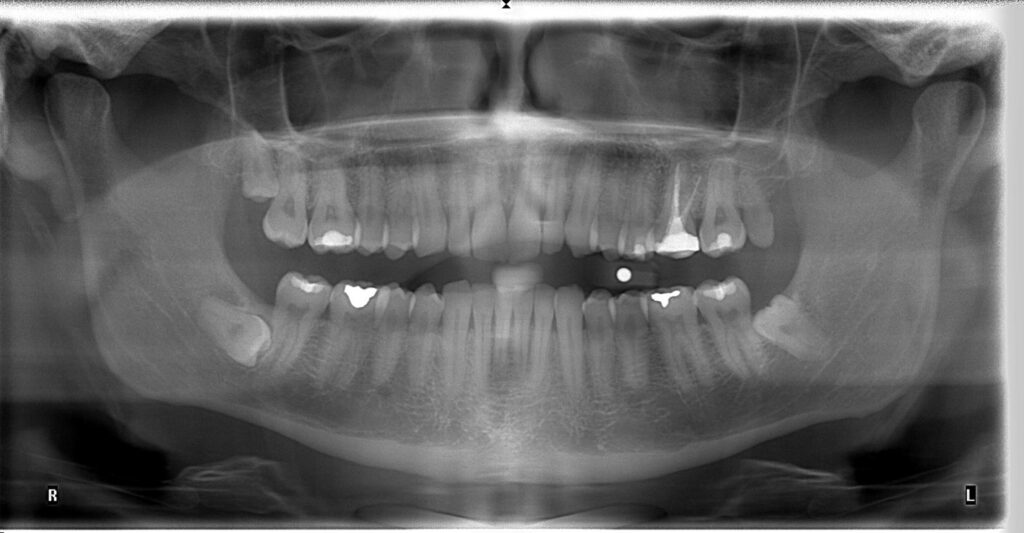
スコーネの住民を対象に最近行われた研究では、症例の半分以上(n=442)で下顎管が第3大臼歯の根より下に位置していることが示されました。これは、パノラマレントゲン写真で下顎管の位置に関する十分な情報が得られることが多いことを意味します。外科的抜歯前の根管の切除(7)。

図 2: 下顎管が歯 38 番と 48 番の下にあることを示すパノラマ X 線。

パノラマ画像における特定の放射線信号に基づいて、神経損傷のリスク増加が確認できます (6)。

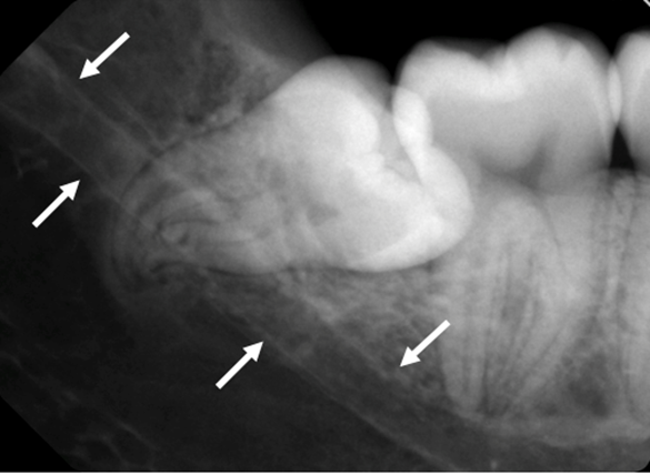
下顎管が歯根に重なっている場合には、他の放射線学的方法を使用する必要があります(7)。

図 3: 下顎管が歯 38 の根に重なっていることを示すパノラマレントゲン写真。

第三大臼歯に対する下顎管の位置を決定するためのさまざまな方法

口腔内画像 – 視差技術

クラークは 1909 年に初めて視差法を次のように説明しま…

すべての内容をご覧になるためには、会員登録が必要です。
日本スウェーデン歯科学会の入会については(こちら→)をご覧ください。
また、このサイトの使い方はこちらをご覧ください。